联系人:挂号跑腿 | 微信:18910579989| 手机号码:18910579989
中国医学科学院肿瘤医院深圳医院黄牛号贩子挂号联系电话—秒出号、亲测真实有效包成功挂号为您提供北京、深圳、上海、广州、广东、南京、四川、天津各大医院的医生挂号,分代挂普通号、专家挂号、加急号等,专家另行细商(价格合理透明)。
专业陪诊服务,可安排接送患者,可为您排队挂号、候诊、陪做检查、取报告(包括离沪后的报告)、拿药等一条龙服务,使您省去诸多麻烦。 省事 省时 省力 省钱 高效为您服务
6月10日下午,由《人民日报•人民网》主办的第三届“人民好医生•金山茶花计划总结会”在北京召开。会上,第三届“人民好医生优秀典范专家”评选揭晓——
中国医学科学院肿瘤医院深圳医院
车旭教授
荣获“人民好医生”
(肝胆肿瘤领域)优秀典范专家”称号
据悉,全国共有10位肝胆肿瘤领域的专家获此殊荣,车旭教授是深圳肝胆肿瘤领域唯一入选的专家,这也是此奖项设立以来,深圳首位获此殊荣的专家。

▲左二为车旭教授
此次人民网联合癌症防控领域权威专家学者,在全国范围内遴选出一批在肺癌、肝胆肿瘤、胃癌等9个癌症防治领域做出突出贡献的中青年专家,鼓励他们不断创新,为提高我们癌症患者生存水平持续贡献自己的力量,共同助力健康中国建设。

四处求医 “癌王”也有治疗希望!
2020年9月,33岁的阿杰发现自己几个月了一直腹痛,最开始以为只是慢性胰腺炎,到医院一检查没想到竟是胰头癌。对于年纪轻轻的阿杰来说,无异于晴天霹雳。阿杰的病发现时已经多处淋巴结转移,并且医生说侵犯肠系膜静脉及部分门静脉,辗转了多家医院,出具的报告均判断为局部晚期不可切除。
正当阿杰和家人束手无策之际,病友给阿杰推荐了中国医学科学院肿瘤医院深圳医院。肝胆外科主任车旭教授在详细了解了阿杰的情况后,与来自北京总院的各个科室主任对该病例进行了全面的治疗前评估和多学科讨论,经过北京总院肝胆外科蔡建强教授与深圳医院肝胆外科团队认真分析、反复研究后,针对阿杰制定了个性化的转化治疗方案。

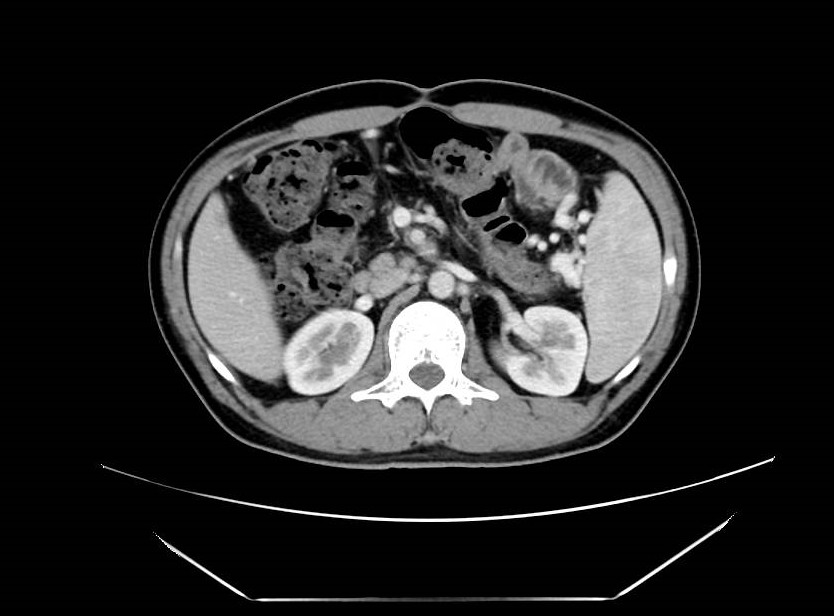
术前CT

术后CT
经过6个周期的精准化疗后,阿杰的肿瘤明显缩小,具备了手术切除的条件。在医生们的努力下,阿杰的手术取得了完满成功。术后7天就基本恢复了自主生活能力。更让人开心的是,阿杰手术6个月后检查,没有发现复发。
今年已经是阿杰手术后的第4个年头,前两天他来医院复查,各项指标都正常。阿杰说:“找对好医生,‘癌王’真的有治疗希望!希望这个好运能一直伴我走过后面的人生。”
做好防癌科普 当好健康守门人
车旭教授在“精准+微创”的全新医学理念下,擅长开展胰腺肿瘤、肝胆原发性肿瘤及肝转移癌、胃肠道肿瘤、胰腺神经内分泌肿瘤及腹膜后肿瘤的诊断和以微创外科为主的综合免疫治疗及相关转化医学研究。他在近5年发表了30篇SCI论文,其中IF>5分有12篇,发表中文核心期刊15篇,累计影响因子128.89分。曾获得教育部科学技术进步奖二等奖、中华医学科技奖三等奖以及华夏医学科技奖三等奖。

▲车旭教授看诊
此外,车旭教授还是中国医师协会外科医师分会、中国抗癌协会肝癌专业委员会、中华医学会肿瘤学分会肝癌学组《肝癌术后辅助治疗中国专家共识(2023版)》编委;中国医师协会外科医师分会肝脏外科医师委员会《吲哚菁绿荧光成像技术在肝脏外科应用中国专家共识(2023版)》编委;中国抗癌协会《肝动脉灌注化疗治疗肝细胞癌中国专家共识(2021版)》编委,为专业领域的发展作出了重要贡献。
车旭教授介绍,肝癌是常见的恶性肿瘤之一,尤其在长期饮酒、慢性乙肝病毒感染和肝硬化等风险因素的影响下,肝癌的发病率会明显增高。为了给患者多争取一线希望,他和团队做了很多努力。近年来,随着新媒体的兴起、普及,刷短视频成为不少人的爱好,能不能让防治癌症的科普占领这个阵地?抱着这一想法,车旭制作了一组系列视频,涵盖了自己专业涉及的主要癌种。其中,他特别强调了预防、防癌体检、早筛早诊的重要性。

临床工作中车旭教授发现太多人对肝胆胰相关疾病的认知存在误区。他说,看到这些患者时感觉很痛心,他们很多是可以通过改变生活方式等途经来预防疾病,其中乙肝病毒携带者可以通过治疗乙肝并定期复查,就可以极大降低肝癌的发病率。
车旭教授介绍,他做科普视频,是想呼吁大家更多重视一点自已的健康,少一些追悔莫及。市民朋友也可以通过保持健康的生活方式,包括戒烟、限制酒精摄入和保持适当的体重来预防肝癌的发生。
编辑 | 党政办公室
来源 | 肝胆外科
中国医学科学院肿瘤医院深圳医院黄牛挂号:祝贺车旭教授荣获“人民好医生•金山茶花计划”优秀典范专家称号就介绍到这里了,省时、省力、便捷!深圳医院挂号代办服务,让您无需排队等候,快速预约专家号源。专业团队、灵活选择、保障权益,让您的就医之路更加轻松愉快。选择我们,选择便捷、高效和贴心的就医体验。
联系人:挂号跑腿 | 微信:18910579989| 手机号码:18910579989
