联系人:挂号跑腿 | 微信:18910579989| 手机号码:18910579989
中国医学科学院肿瘤医院深圳医院黄牛号贩子挂号联系电话—秒出号、亲测真实有效包成功挂号为您提供北京、深圳、上海、广州、广东、南京、四川、天津各大医院的医生挂号,分代挂普通号、专家挂号、加急号等,专家另行细商(价格合理透明)。
专业陪诊服务,可安排接送患者,可为您排队挂号、候诊、陪做检查、取报告(包括离沪后的报告)、拿药等一条龙服务,使您省去诸多麻烦。 省事 省时 省力 省钱 高效为您服务
我被不喜欢的人要联系方式都觉得头大
她却被恶性肿瘤纠缠上了
居然还“斗智斗勇”了八年

期间分过手,以为一刀两断了可它还“死缠烂打”来就算了吧,还到处流窜不想离开



诊断出患有“左卵巢颗粒细胞瘤”,做了保留生育功能的手术,切除了左侧附件,保守手术让她拥有了第二个宝宝。
2019 肿瘤复发,本已平静的生活再次被打破。 2022肿瘤突发出血。
姚女士收到过“病危通知书”,进过ICU,也先后接受过化疗、内分泌治疗,肿瘤还是不可控地出现了多发转移。 最近一年,姚女士北上了,也南下了,跑了北京、广州等地多家知名医院,但是由于“肿瘤已包绕肝门部大血管,手术风险极高”,专家团队都认为当下情况并不适合手术。


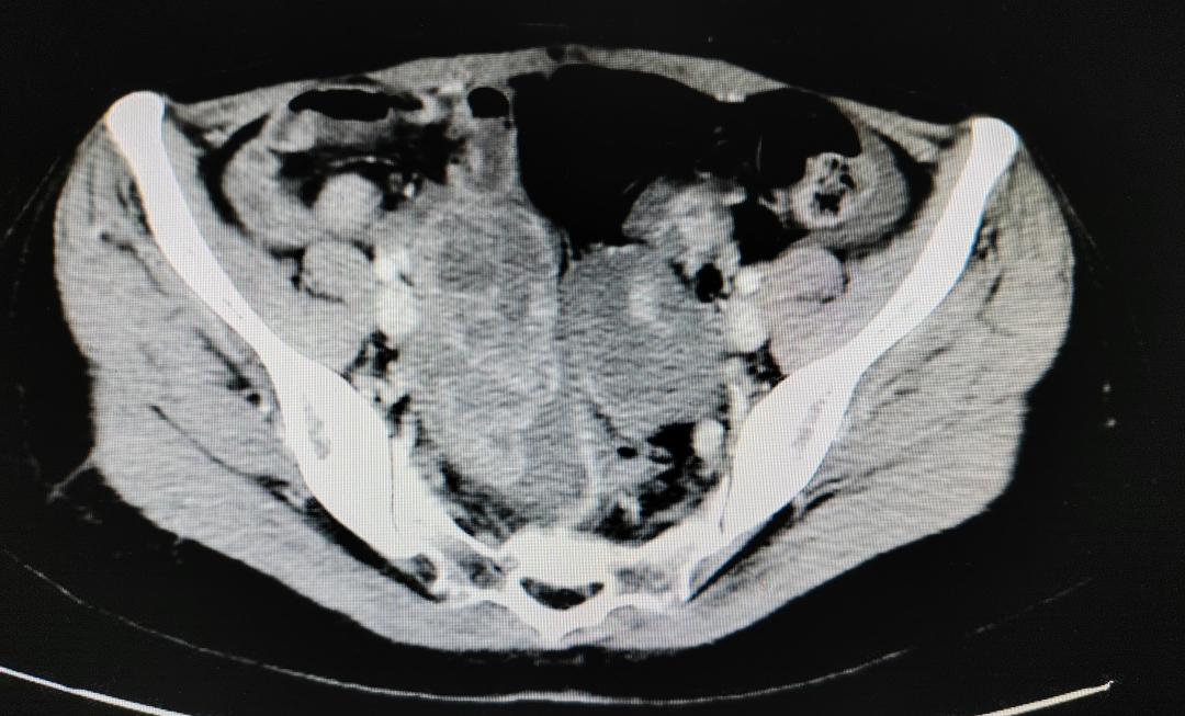
姚女士的CT报告显示:
肿瘤广泛转移,肝脏周围病变连成片,累及肝门,包绕门静脉,这个位置因“风险高”常被称为“手术禁区”,无论是对患者还是对医生,都要承担巨大的风险。

在这之前,一直本着“办法总比困难多”的观念,孙力主任联合医院多学科团队多次挑战“手术禁区”,挽救了许多陷入绝境的患者。
结合多年的工作经验,孙力主任觉得有一丝可能都希望能帮姚女士推开重生之门。孙力主任当机立断,迅速联系了总院妇科主任医师李晓光教授和肝胆外科车旭主任。 这两位专家 究竟有何来头?
▽ 李晓光教授是中国医学科学院肿瘤医院妇科知名专家,也是孙力主任心目中的“宝藏医生”,从事妇科肿瘤临床工作30余年,擅长诊治疑难复杂妇科恶性肿瘤。车旭主任是肝胆外科领域专家,尤其擅长疑难复杂肝肿瘤手术。
肿瘤“国家队”敢啃硬骨头,也能啃下硬骨头。 经三位专家讨论分析,姚女士的手术危险系数确实高,但并不是完全没有手术可能。


卵巢颗粒细胞瘤对化疗并不敏感,手术还是最好的治疗方案。患者之前手术还保留了一侧附件,颗粒细胞瘤本来就是激素依赖性肿瘤,应该切除。采用肿瘤细胞减灭术,能让患者获得较长时间缓解期。
李晓光教授:复发肿瘤广泛分布于盆腹腔,大部分肿瘤可以切除,手术的真正难点在于肝门部肿瘤的切除,因为包绕门静脉等血管,手术风险极高,需肝胆外科专家协助手术。
车旭主任:肝周肿瘤累及肝门、第二肝门,紧邻门静脉、肝静脉等大血管,手术风险极大,如果妇科需要协助,肝胆外科将全力配合。
而放疗科、介入科专家则表示,放疗和介入治疗不适合姚女士当前病情。 姚女士的肝脏病灶影像▽




李晓光教授回忆:
“进入腹腔就看见腹腔内血性液体,肿瘤出血,盆腹腔大大小小的肿瘤:膈顶、肝周、胆囊旁、肝门、肝肾隐窝、大网膜、肠管、肠系膜、膀胱表面、右侧卵巢、直肠窝、腹主动脉旁均可见肿瘤,肝周肿瘤广泛。”


我们去过很多家医院,但没有医生愿意给我们进行手术,让我们感到无助和绝望。找到中国医学科学院肿瘤医院深圳医院孙力主任、李晓光主任、肝外科车旭主任会诊后给我们肯定的答复,可以做,这让我们非常欣喜,终于找到了愿意为我们做手术的医院了。
我们深知手术过程的风险极大,但是您们以专业的技术和无私的奉献精神让我们看到了希望,也让我们重新拥有了生活的力量。特别感谢妇科的孙力主任、李晓光主任、李华主任和徐荷洋医生,以及肝外科的车旭主任和全体医护人员。
——姚女士先生
编辑 | 党政办公室
来源 | 妇科
中国医学科学院肿瘤医院深圳医院黄牛挂号:肚里长满肿瘤,妇科MDT勇闯“手术禁区”就介绍到这里了,省时、省力、便捷!深圳医院挂号代办服务,让您无需排队等候,快速预约专家号源。专业团队、灵活选择、保障权益,让您的就医之路更加轻松愉快。选择我们,选择便捷、高效和贴心的就医体验。
联系人:挂号跑腿 | 微信:18910579989| 手机号码:18910579989
